Ladebalken - Dentologikum Braunschweig

Fallbeispiele (Röntgen)

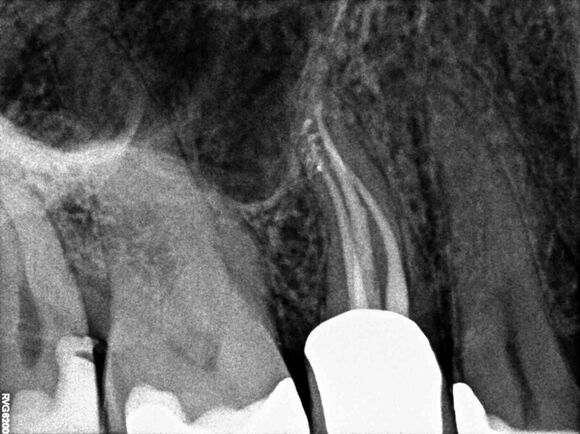
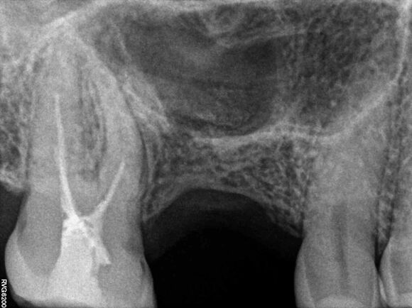
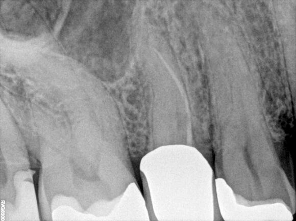
Beispiel 1: Vorher

Schwierige Krümmungen und sehr grazile Wurzeln.

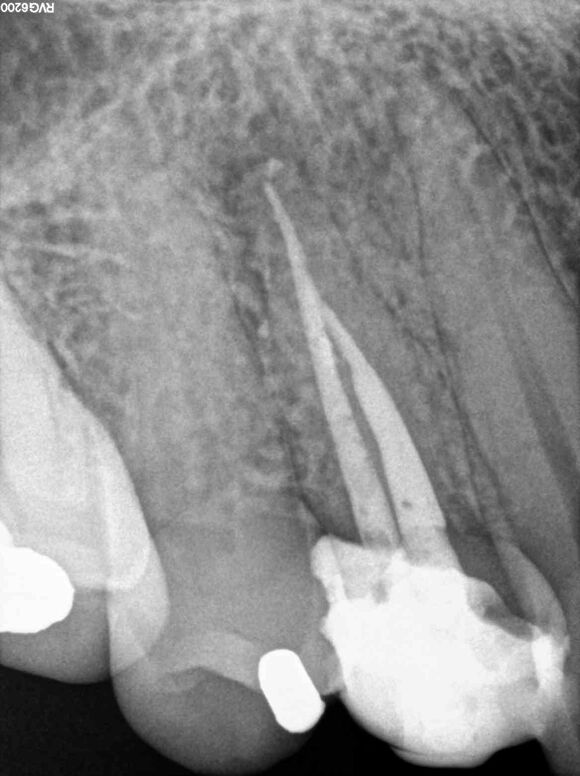
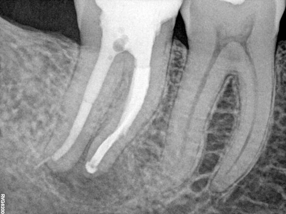
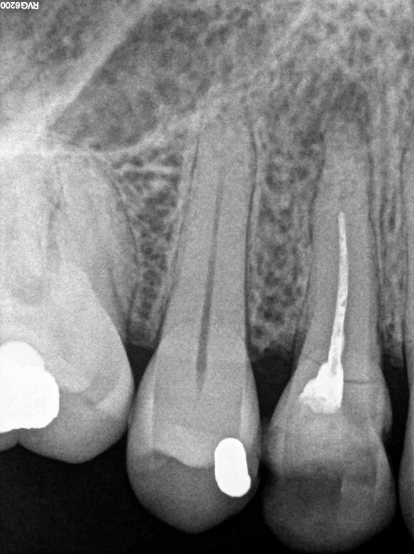
Beispiel 1: Nachher

Die perfekte Wurzelfüllung!

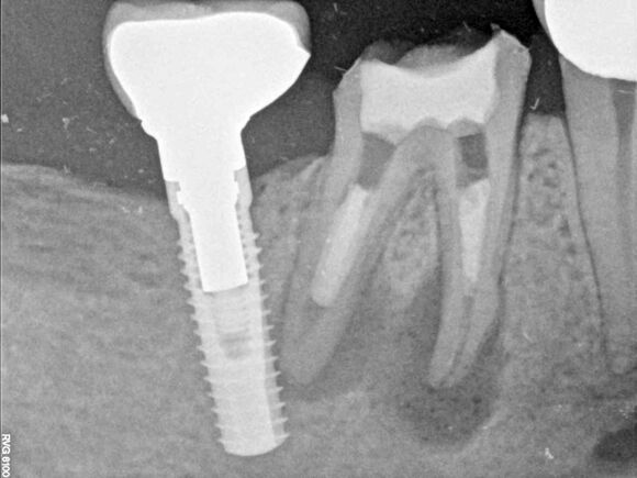
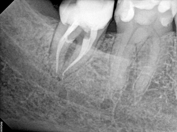
Beispiel 2: Vorher

Ausgedehnte Entzündung neben einem Implantat, bei diesem Überweisungsfall.

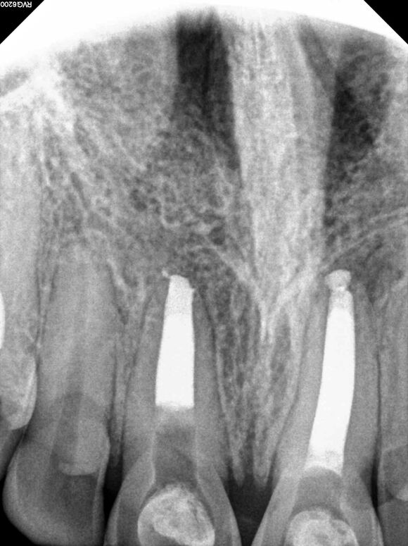
Beispiel 2: Nachher

Nur 6 Monate später ist die Entzündung fast vollständig zurückgegangen - Zahn und Implantat sind gerettet.

Beispiel 3: Vorher

Unvollständige Wurzelfüllung mit anhaltenden Beschwerden.

Beispiel 3: Nachher

Verlängert, vervollständigt und Beschwerdefreiheit.

Beispiel 4: Vorher

Unvollständige Wurzelbehandlung und abgebrochenes Instrument.

Beispiel 4: Nachher

Instrument entfernt, Wurzelfüllung optimiert und Entzündung in Rückbildung.

Beispiel 5: Vorher

Die seitliche Lage lässt weitere Wurzelkanäle vermuten.

Beispiel 5: Nachher

3 Wurzelkanäle bei diesem Zahn, sind zum Glück sehr selten!

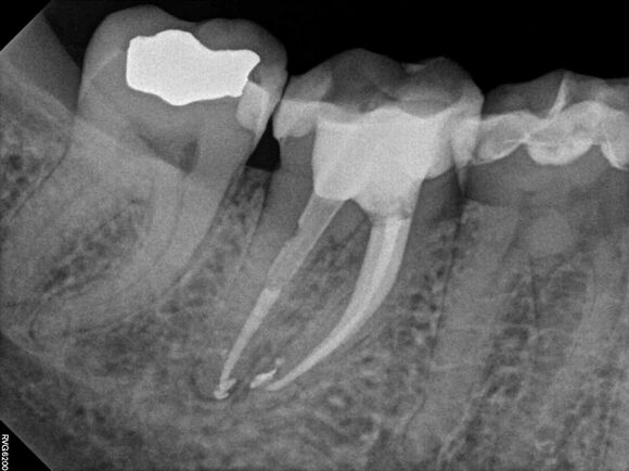
Beispiel 6: Vorher

Unvollständig, zu kurz und ein Kanal zu wenig.

Beispiel 6: Nachher

Perfekt gelöst.

Weitere Beispiele

Beispiel 7: Vorher

Unvollständig und nur ein Kanal?

Beispiel 7: Nachher

Leider auch hier ein weiterer Kanal und die Vervollständigung der Wurzelbehandlung.

Beispiel 8: Vorher

Schwierige Situation nach einen Unfall bei einem Kind - Wurzelwachstum noch nicht abgeschlossen - Füllung mit MTA - ausgedehnte Entzündung und Beschwerden.

Beispiel 8: Nachher

6 Monate später - Entzündung komplett weg und Beschwerdefreiheit.

Überweisung/­Fallbesprechung

Sie wünschen einen Fall mit uns zu besprechen oder möchten einen Ihrer Patienten zu uns überweisen? Gerne gehen wir Ihr Anliegen mit Ihnen durch. Füllen Sie entweder das folgende Formular aus und wir melden uns bei Ihnen, oder rufen Sie uns an und wir vereinbaren zeitnah einen Gesprächstermin mit Ihnen.

Zu Ihrer Person

Daten des Patienten (optional)

Durchsuchen...
Durchsuchen...
* Pflicht